新进展:间充质干细胞或可改善新冠肺炎患者的预后
中国临床试验注册中心数据显示,现在已经有十多项间充质干细胞治疗新冠肺炎相关临床研究登记注册。近日,上海大学、首都医科大学、郑州大学第一附属医院等多家机构在中国科学院科技论文预发布平台(ChinaXiv)上传文章,研究显示ACE2-间充质干细胞的移植治疗或可改善新冠病毒(COVID-19)肺炎患者的预后。
截止目前已有诸多报道新冠肺炎患者通过干细胞治疗后显示安全有效。红网时刻娄底2月25日报道湖南两位新冠肺炎危重患者使用干细胞治疗后,总体病情向稳趋好;2月21日国务院新闻发布会:已有4例新冠肺炎重症患者通过干细胞治疗出院……
在2020年1月23日至2月16日期间,研究者共征集了首都医科大学附属北京安佑医院的7名COVID-19患者,其中包括1名危重症患者、4名重症患者和2名轻症患者,探究间充质干细胞移植后14天内,患者的免疫系统和炎症系统功能变化,以及副作用的发生情况。
移植14天后,间充质干细胞显著改善7名患者的肺功能,有效规避细胞因子风暴,且无明显副作用,为新冠肺炎患者的临床治疗提出新思路。
大量的基础和临床研究也证实,间充质干细胞,除了具有自我复制和多向分化修复受损组织的属性,更具有独特的造血支持和免疫调节的功能。
科研团队通过本次研究得出以下一系列间充质干细胞治疗新冠肺炎相关结论:
间充质干细胞移植前,患者存在高烧(38.5°C±0.5°C)、虚弱、呼吸急促和低氧饱和度的症状;移植后2〜4天,所有患者的所有症状均消失,安静时血氧饱和度上升至95%以上。此外,移植后两小时内未观察到急性过敏反应,此后也未出现迟发性超敏反应或继发感染,初步证明该疗法的安全性。
2. 迅速显著改善患者临床症状和生化指标
研究中1例危重症患者存在高血压史,一度达到3级高血压,1月31日接受间充质干细胞移植,疗效尤其显著。
其直接效应表现在:移植后2周内,血浆淋巴细胞水平明显下降,血浆C反应蛋白水平从105.5 g/L(2月1日达峰191.0 g/L)降低10倍左右,恢复到10.1 g/L,表明炎症反应迅速缓解;在不额外吸氧的情况下,血氧饱和度从89%升高至98%,表明肺泡换气功能基本恢复。
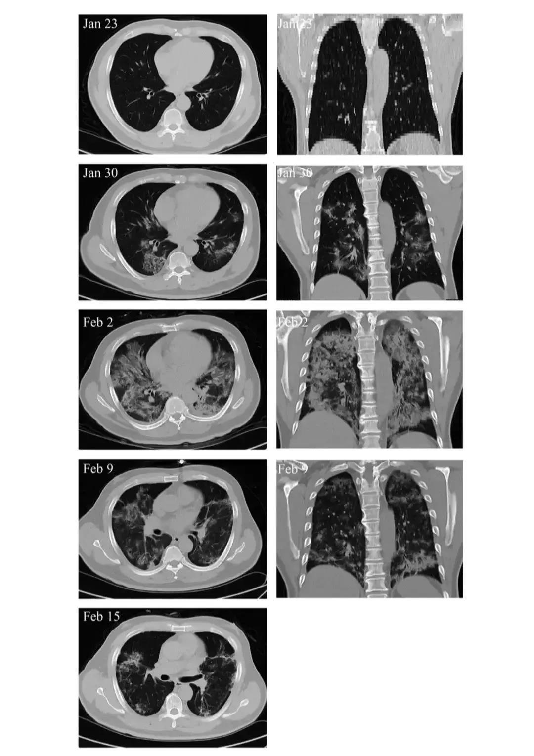
间充质干细胞移植有效阻止免疫系统对器官的攻击。2月1日,患者血浆天冬氨酸转氨酶、肌酸激酶活性和肌红蛋白分别激增至57 U/L、513 U/L和138 ng/ml,表明肝脏和心脏遭受严重损害;但这些功能性生化指标的水平均在移植后2〜4天降至正常参考值,2月13日恢复至正常水平,分别为19 U/L,40 U/L和43 ng/ml。另外,MSC移植能显著加快治疗进程。移植后4天,新冠肺炎危重症患者呼吸频率降至正常范围、发烧和呼吸急促等症状消失。移植后9天,胸部CT成像显示毛玻璃样混浊和肺炎浸润已大大减少。

危重患者肺部影像学显示症状改善
3. 有效规避细胞因子风暴
研究者通过质谱流式分析发现间充质干细胞移植后,导致细胞因子风暴的元凶——过度活化的免疫细胞CXCR3 + CD4 + T细胞、CXCR3 + CD8 + T细胞和CXCR3 + NK细胞在3-6天内消失。另外,CD14 + CD11c + CD11bmid调控的树突状细胞数量急剧增加。另外,与安慰剂对照组相比,MSC治疗组的TNF-α水平显着降低而IL-10水平升高。以上结果在重症患者中尤其显著。


本研究为新冠肺炎重症患者提出了除激素治疗、抗炎治疗以外的新思路,运用成熟的间充质干细胞移植技术有效规避细胞因子风暴,大大减少副作用,并显著促进治疗的进展。该方法的安全可靠性已经临床实践检验,为降低新冠重症、危重症患者的死亡率提供新的希望!

