干细胞改善免疫系统失衡,有望缓解过敏困扰!
过敏性疾病在我们的日常生活中越来越常见,在世界范围内呈上升趋势。据统计显示,我国过敏性疾病的发病率已经高达37.3%。过敏性疾病包括过敏性鼻炎、哮喘、湿疹、荨麻疹、特异性皮炎、结膜炎、食物过敏、药物过敏和严重过敏反应等。

为什么会过敏?
过敏在医学上被称为“变态反应”,本质是因为外界物质进入人体后,导致部分人的免疫系统发生了过度反应。
当外来物质进入身体时,免疫系统会进行识别,将其划分为无害物质和有害物质两大类。无害物质会被吸收、利用或被自然排出,面对有害物质,免疫系统会立即做出反应,对其进行攻击、消灭,保护身体安康。但是当部分人群的免疫系统出现紊乱情况时,会出现免疫调节失衡,把花粉、柳絮等物质判断为有害物质,当这些物质进入或者接触到人体后,免疫细胞会与这些物质发生“战斗”,将它们清除。
干细胞具有强大的免疫调节功能
干细胞对免疫力低或免疫系统过激患者均有很好的疗效,干细胞在治疗自身免疫性疾病(如红斑狼疮、克罗恩病、风湿性关节炎、硬皮病、溃疡性结肠炎等)方面展示出有效性。当免疫细胞误将自身细胞公民视为“异己”,发动无情攻击时,会发生自身免疫性疾病。
早在2009年,汉氏联合首席科学家韩忠朝院士研发团队与南京鼓楼医院孙凌云教授医疗团队开展合作,对一位自身免疫性系统性硬化症患者进行了干细胞治疗。
干细胞可用于治疗常见的过敏性疾病吗?
目前国内外已经开展了很多对于干细胞治疗过敏性疾病的研究,包括过敏性皮炎、鼻炎、哮喘等。
成都中医药大学医学与生命科学学院/附属生殖妇幼医院、攀枝花学院附属医院耳鼻咽喉头颈外科合作进行了一项间充质干细胞治疗变应性鼻炎基于动物实验的Meta分析。共纳入6篇随机对照动物实验,结果表明,干细胞有助于改善变应性鼻炎的症状,降低血清白细胞介素4、白细胞介素6水平和脾脏白细胞介素6水平,升高脾脏中白细胞介素10水平,干细胞在变应性鼻炎中起着重要的作用。
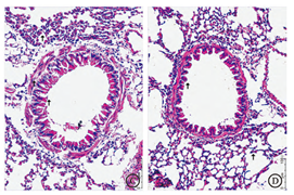
《解剖学杂志》刊载过一篇题为脂肪来源的间充质干细胞对过敏性哮喘的治疗作用的文章,将野生型C57Bl/6小鼠分为空白对照组、细胞对照组、哮喘模型组、细胞治疗组。研究者采用小鼠自体脂肪干细胞(ASCs),待细胞传至第3代时,经过尾静脉一次性注射入造模第15天的细胞治疗组,和第1次腹腔注射PBS后第15天的细胞对照组小鼠体内。其余2组以尾静脉注射200 μl PBS代替ASCs细胞。结果显示:ASCs 静脉移植可以减轻气道炎症,治疗过敏性哮喘,可能与抑制炎症反应和ILC2s增殖有关。

图解:ASCs 注射治疗后,炎症浸润程度明显下降,管壁增厚也较哮喘模型组减轻,表明ASCs 治疗能够有效地减轻哮喘气道炎症。
2020年12月,英国著名出版商Spandidos Publications旗下《世界科学院期刊》,在线发表了韩忠朝院士科研团队与临床研究合作团队的干细胞临床研究成果。该联合团队通过人脐带间充质干细胞治疗技术,成功治愈了一名65岁女性难治性特应性皮炎(atopic dermatitis,AD)患者合并尿路感染和严重的足部溃疡。通过一次性静脉干细胞输注,同时有效消除了AD伴发的瘙痒和弥漫性湿疹,患者睡眠和生活质量均显著改善;在为期14个月的随访中未见复发和不良反应发生。上述回顾性研究,得到患者充分知情同意和伦理委员会的严格评审通过,并在Clinicaltrail和中国临床研究注册网通过注册审核。
随着相关临床研究的不断深入,在不久的将来,人们有望采用干细胞技术来治疗过敏性疾病,减少过敏带来的困扰,提高生活幸福指数。
本文为科普性知识,仅供学习、交流,请勿用于商业用途。
参考文献:
1、花粉过敏是因为免疫系统把它们当作了寄生虫?!华夏地理 国家地理中文网 2016-04-12
2、浅析花粉过敏的免疫学机制 挑食的喵 生物制品圈 2020-12-04
3、脂肪来源的间充质干细胞对过敏性哮喘的治疗作用 戴伟丹 孙爱军 张传森 解剖学杂志 2019年03期
4、间充质干细胞治疗变应性鼻炎:一项基于动物实验的Meta分析,闫乐,张慧萍,戴林桐,中国组织工程研究
5、Shin KO, Ha DH, Kim JO, Crumrine DA, Meyer JM, Wakefield JS, Lee Y, Kim B, Kim S, Kim HK, Lee J, Kwon HH, Park GH, Lee JH, Lim J, Park S, Elias PM, Park K, Yi YW, Cho BS. Exosomes from Human Adipose Tissue-Derived Mesenchymal Stem Cells Promote Epidermal Barrier Repair by Inducing de Novo Synthesis of Ceramides in Atopic Dermatitis. Cells. 2020 Mar 10;9(3):680. doi: 10.3390/cells9030680.

