干细胞守护您平安度过过敏高发季
又到了春暖花开的日子,柳芽萌生,百花竞放,馥郁芬芳……然而,一部分人群还没来得及认真欣赏这春意美景,享受这大好春光,就已经出现流鼻涕、打喷嚏、鼻子痒、眼睛痒、上颚痒、耳朵痒、流眼泪的症状。
这很有可能是花粉过敏了!花粉过敏症也叫季节性过敏性鼻炎,初期症状和感冒类似,但如果二十多天依旧不见好转,那很可能是过敏反应。
过敏的本质因为外界物质进入人体后,导致部分人的免疫系统发生了过度反应,免疫失衡。当部分人群的免疫系统出现紊乱情况时,免疫调节失衡,人体会把花粉、柳絮等物质判断为对身体有害的物质,当这些物质进入或者接触到人体后,免疫细胞会与这些物质发生“战斗”,将它们清除。在这个过程中我们的身体就会出现皮肤发痒、打喷嚏、流鼻涕甚至哮喘等症状。
此外,还有很多自身免疫疾病,都是因为免疫系统把我们的关节、神经组织等等对自身功能非常有用的组织和细胞,当成了被外界感染过的细胞,所以它们不断地进入这些组织,消灭和破坏我们自身的组织。这样的情况下,过敏和自身免疫情况下,我们免疫应答太强,没有受到很有效的控制,引起很多免疫疾病。
干细胞拥有强大的免疫调节功能,干细胞对免疫力低或免疫系统过激患者均有很好的疗效。研究证实,间充质干细胞(MSCs)是治疗过敏性鼻炎的一种很有前途的治疗方法。目前国内外已经开展了很多对于干细胞治疗过敏性疾病的研究,包括皮炎、鼻炎、哮喘等。同时,干细胞在治疗自身免疫性疾病(如红斑狼疮、克罗恩病、风湿性关节炎、硬皮病、溃疡性结肠炎等)方面也显示出有效性。
成都中医药大学医学与生命科学学院/附属生殖妇幼医院、攀枝花学院附属医院耳鼻咽喉头颈外科合作进行了一项间充质干细胞治疗变应性鼻炎基于动物实验的Meta分析。共纳入6篇随机对照动物实验,包括152只小鼠,干细胞组小鼠51只,空白对照组51只,动物模型对照组小鼠50只。
Meta分析结果显示:干细胞组喷嚏次数明显少于动物模型对照组;干细胞组揉鼻次数明显少于动物模型对照组;干细胞组血清白细胞介素4水平明显低于动物模型对照组;干细胞组血清白细胞介素6水平明显低于动物模型对照组;干细胞组脾脏白细胞介素10水平明显高于动物模型对照组;干细胞组脾脏白细胞介素6水平明显低于动物模型对照组。根据纳入的动物实验表明,干细胞有助于改善变应性鼻炎的症状,降低血清白细胞介素4、白细胞介素6水平和脾脏白细胞介素6水平,升高脾脏中白细胞介素10水平,干细胞在变应性鼻炎中起着重要的作用。

2017年,韩国一研究团队发布了使用人间充质干细胞治疗中度到重度的异位性皮炎(AD)的临床试验结果。本研究共招募了34位中度到重度的AD患者,皮下接种不同剂量的间充质干细胞,随访1-3个月。
结果表明间充质干细胞的单次治疗有效改善AD患者症状。高剂量间充质干细胞治疗组中有55%的患者的EASI评分降低了50%。高剂量治疗组的IGA评分和SCORAD评分分别降低了33%和50%。特别是,高剂量间充质干细胞的施用使瘙痒评分降低了58%。血清IgE水平和嗜酸性粒细胞数量减少。试验中没有严重的副作用事件发生,证实了干细胞治疗的安全性。

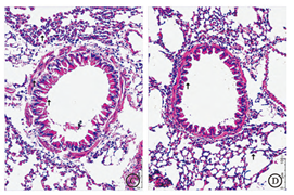
《解剖学杂志》刊载过一篇题为脂肪来源的间充质干细胞对过敏性哮喘的治疗作用的文章,将野生型C57Bl/6小鼠分为空白对照组、细胞对照组、哮喘模型组、细胞治疗组。研究者采用小鼠自体脂肪干细胞(ASCs),待细胞传至第3代时,经过尾静脉一次性注射入造模第15天的细胞治疗组,和第1次腹腔注射PBS后第15天的细胞对照组小鼠体内。其余2组以尾静脉注射200 μl PBS代替ASCs细胞。结果显示:ASCs 静脉移植可以减轻气道炎症,治疗过敏性哮喘,可能与抑制炎症反应和ILC2s增殖有关。

图解:ASCs 注射治疗后,炎症浸润程度明显下降,管壁增厚也较哮喘模型组减轻,表明ASCs 治疗能够有效地减轻哮喘气道炎症。
随着相关临床研究的不断深入,在不久的将来,利用干细胞技术来治疗过敏性疾病或可惠及更多人群,减少过敏带来的困扰,提高生活幸福指数。
本文为科普性知识,仅供学习、交流,请勿用于商业用途。
参考文献:
1、董晨:免疫疾病与免疫治疗(上)干细胞者说 2017-09-07
2、浅析花粉过敏的免疫学机制 挑食的喵 生物制品圈 2020-12-04
3、间充质干细胞治疗变应性鼻炎:一项基于动物实验的Meta分析,闫乐,张慧萍,戴林桐,中国组织工程研究
4、Shin KO, Ha DH, Kim JO, Crumrine DA, Meyer JM, Wakefield JS, Lee Y, Kim B, Kim S, Kim HK, Lee J, Kwon HH, Park GH, Lee JH, Lim J, Park S, Elias PM, Park K, Yi YW, Cho BS. Exosomes from Human Adipose Tissue-Derived Mesenchymal Stem Cells Promote Epidermal Barrier Repair by Inducing de Novo Synthesis of Ceramides in Atopic Dermatitis. Cells. 2020 Mar 10;9(3):680. doi: 10.3390/cells9030680.
5、脂肪来源的间充质干细胞对过敏性哮喘的治疗作用 戴伟丹 孙爱军 张传森 解剖学杂志 2019年03期
————————————————————————————————————————————
汉氏联合可为您提供专业的细胞技术服务:胎盘脐带源干细胞存储、免疫细胞存储、细胞检验检测、CDMO技术服务等,在全国布局了7个临床级细胞库,通过了ISO9001:2015国际质量体系认证,2个实验室拥有CNAS认证,并且有7款自主研发的干细胞I类新药通过中国和法国药监局临床试验默示许可。以韩忠朝院士为首的科研团队发表论文500余篇,在国际SCI杂志发表300余篇。主编参编英文专著9部,中文专著10部。同时,公司承担政府支持的重大项目研究,拥有几十项细胞相关专利技术。全国设立多个研发平台,涵盖工程实验室、研究中心、院士专家工作站、博士后工作站、高校联合实验室等,致力于细胞技术造福人类健康,提升人类生命质量。

