汉氏联合|【世界过敏日】干细胞技术让亿万患者对过敏说再见!
过敏性疾病在我们的日常生活中越来越常见,在世界范围内呈上升趋势,被世界卫生组织列为21世纪重点防治的三大疾病之一。据统计显示,我国过敏性疾病的发病率已经高达37.3%。
过敏性疾病包括过敏性鼻炎、哮喘、湿疹、荨麻疹、特异性皮炎、结膜炎、食物过敏、药物过敏和严重过敏反应等。

过敏的机制原理
过敏在医学上被称为“变态反应”,本质是因为外界物质进入人体后,导致部分人的免疫系统发生了过度反应。当外来物质进入身体时,免疫系统会进行识别,将其划分为无害物质和有害物质两大类。无害物质会被吸收、利用或被自然排出,面对有害物质,免疫系统会立即做出反应,对其进行攻击、消灭,保护身体安康。但是当部分人群的免疫系统出现紊乱情况时,会出现免疫调节失衡,把花粉、柳絮等物质判断为有害物质,当这些物质进入或者接触到人体后,免疫细胞会与这些物质发生“战斗”,将它们清除。
干细胞技术——平息战争的调解员
干细胞具有强大的免疫调节功能。干细胞对免疫力低或免疫系统过激患者均有很好的疗效,干细胞在治疗自身免疫性疾病(如红斑狼疮、克罗恩病、风湿性关节炎、硬皮病、溃疡性结肠炎等)方面展示出有效性。当免疫细胞误将自身细胞公民视为“异己”,发动无情攻击时,会发生自身免疫性疾病。
早在2009年,汉氏联合首席科学家韩忠朝院士研发团队与南京鼓楼医院孙凌云教授医疗团队开展合作,对一位自身免疫性系统性硬化症患者进行了干细胞治疗。
那么干细胞可用于治疗常见的过敏性疾病吗?
目前国内外已经开展了很多对于干细胞治疗过敏性疾病的研究,包括过敏性皮炎、鼻炎、哮喘等。
2018年,中国第二批干细胞临床研究备案通过了一项干细胞重建鼻甲技术,并在2019年由上海一家医院牵头进行,项目的名称为《自体骨髓干细胞技术重建下鼻甲改善空鼻综合征的研究》,目的为研究干细胞改善鼻炎的效果,这个项目首次体现了国家对干细胞修复鼻部疾病的能力认可。
2020年,一项间充质干细胞治疗鼻炎的应用研究发表在《Stem Cells International》上,介绍了干细胞免疫调节作用的机制及基于干细胞的鼻炎临床治疗方法应用,干细胞可能会成为未来鼻炎治疗最有希望的策略之一。

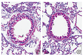
《解剖学杂志》刊载过一篇题为间充质干细胞对过敏性哮喘的治疗作用的文章,将野生型C57Bl/6小鼠分为空白对照组、细胞对照组、哮喘模型组、细胞治疗组。研究者采用小鼠自体脂肪干细胞(ASCs),待细胞传至第3代时,经过尾静脉一次性注射入造模第15天的细胞治疗组,和第1次腹腔注射PBS后第15天的细胞对照组小鼠体内。其余2组以尾静脉注射200 μl PBS代替ASCs细胞。结果显示:ASCs 静脉移植可以减轻气道炎症,治疗过敏性哮喘,可能与抑制炎症反应和ILC2s增殖有关。

图解:ASCs 注射治疗后,炎症浸润程度明显下降,管壁增厚也较哮喘模型组减轻,表明ASCs 治疗能够有效地减轻哮喘气道炎症。
随着相关临床研究的不断深入,采用干细胞技术来治疗过敏性疾病的相关成果会越来越多。或许将来,干细胞技术将惠及更多普通百姓,减少过敏带来的困扰,提高生活幸福指数。
汉氏联合细胞存储和制备服务
汉氏联合可提供干细胞存储、免疫细胞存储和细胞制备服务,干细胞类型包括胎盘造血干细胞、胎盘亚全能干细胞、胎盘间充质干细胞、胎盘母亲干细胞和脐带间充质干细胞,存储期限为18年,在孩子以及家人需要疾病治疗和健康调理时可提供临床级干细胞。
汉氏联合是国内唯一一家可同时储存五种干细胞的公司,在全国布局了7个临床级细胞库,通过了ISO9001:2015国际质量体系认证,实验室拥有CNAS认证,并且有5款自主研发的干细胞I类新药通过中国和法国药监局临床试验默示许可,充分证明汉氏联合的研发实力及汉氏联合干细胞的安全性。同时,公司承担政府支持的重大项目研究,拥有几十项细胞相关专利技术。全国设立多个研发平台,涵盖工程实验室、研究中心、院士专家工作站、博士后工作站、高校联合实验室等,致力于细胞技术造福人类健康,提升人类生命质量。
参考文献:
1、浅析花粉过敏的免疫学机制 挑食的喵 生物制品圈 2020-12-04
2、脂肪来源的间充质干细胞对过敏性哮喘的治疗作用 戴伟丹 孙爱军 张传森 解剖学杂志 2019年03期

