卵巢早衰日趋年轻化?干细胞技术带来“好孕”
卵巢早衰(POF)越来越呈现年轻化趋势,湖南省长沙市妇幼保健医院生殖中心主任毛增辉曾介绍,在一天接待了5对母女,都是妈妈带着读大学的女儿来看病,其中3个女生被确诊为卵巢早衰,有可能导致不孕。
随着我国三胎政策的发布及鼓励生育的配套政策逐步实施,民众的生育意愿将有所上升。然而我国60%以上符合二孩政策的女性年龄在35岁以上,而这部分女性的基础卵泡储备和卵巢反应性急剧下降。因此寻找到治疗卵巢早衰的有效方法,刻不容缓。

卵巢早衰是指卵巢功能衰竭所导致的40岁之前即闭经的现象,多见于25岁至35岁的育龄妇女。随着干细胞技术的发展,间充质干细胞(MSCs)为卵巢早衰患者带来了新的希望,有望修复受损卵巢,恢复POF患者的卵巢功能。
干细胞治疗卵巢早衰原理
可以归纳为以下几点:
1、MSCs可通过各种途径改善颗粒细胞功能从而达到恢复卵巢功能。
2、MSCs可通过改善生殖细胞的发育和减少原始生殖干细胞的消耗恢复卵巢功能。
3、MSCs可通过各种方式诱导卵巢血管生成,修复受损的卵巢从而改善卵巢功能。
4、MSCs主要通过调节Treg细胞来参与免疫系统的调节从而改善POF患者的卵巢功能。
相关研究进展
北京协和医学院吕晓丹通过动物实验研究证实,通过注射脐带间充质干细胞能明显提高卵巢储备能力,细胞的增殖能力和生育能力。
南京鼓楼医院生殖医学中心与中科院遗传与发育所戴建武再生医学研究团队合作,于2015年在国际上率先开展脐带间充质干细胞干预卵巢早衰合并不孕症临床研究,戴建武团队设计了可注射智能型胶原支架材料结合脐带间充质干细胞,用于卵巢功能重建。
两年来,该临床研究已入组患者23人,随访发现9位患者有优势卵泡活动,已有2位患者获得临床妊娠,另有2位患者已经获得可移植胚胎,正在准备子宫内膜等待移植。
在伊利诺伊州芝加哥举行的内分泌学会第 100 届年会 ENDO 2018上,公布了一项干细胞治疗年轻女性卵巢早衰的结果:干细胞让卵巢早衰女性恢复生育能力,且推迟了患者的更年期。

这项研究从目前已经接受治疗的患者髂嵴处提取了间充质干细胞,并且通过微创腹腔镜的手段将细胞植入患者自身一侧的卵巢中,同时保证另外一侧卵巢不受影响。
之后,研究人员对患者的血常规、卵巢成像以及更年期症状进行定期调查。

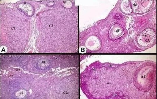
△ 干细胞治疗后,卵巢体积、各级卵泡数等都明显增加
完成治疗的两名参与者,在注射干细胞后3个月内,血清雌激素水平立即升高,效果至少持续了一年,他们的更年期症状得到了缓解。6名患者将干细胞注入卵巢几个月后,她们恢复了月经。
由此可见,干细胞技术治疗卵巢早衰有效。随着相关研究的不断深入,技术逐步发展成熟,干细胞技术有望为更多的卵巢早衰患者带来孕育希望,助力圆育儿梦。
参考文献:
1、进展:干细胞治疗卵巢早衰 看这一篇就够了 细胞王国 2019-05-10
2、https://www.endocrine.org/news-and-advocacy/news-room/2018/stem-cell-therapy-may-help-reverse-effects-of-premature-menopause-restore-fertility
3、《熬夜玩游戏,3个女大学生卵巢早衰!恐终身不孕》(朱炎皇 陈倩)2021-01-08长沙晚报 掌上长沙

