35岁后计划生娃人群,如何应对卵巢早衰现象?间充质干细胞或能带来好孕!
由于经济、社会等因素,女性初次生育年龄升高,女性生育年龄高峰后移,生育力逐渐降低,随着年龄增加卵巢功能发生生理性衰退是其主要原因。我国60%以上符合二孩政策的女性年龄在35岁以上,而这部分女性的基础卵泡储备和卵巢反应性急剧下降。
卵巢早衰治病原因与诊治
卵巢早衰(POF)的病因复杂,遗传因素是其主要病因之一。此外,代谢性疾病、自身免疫性疾病、放化疗治疗、环境因素都与 POF 的发病有一定关系,但大多数 POF 的病因仍然无法解释,称为特发性 POF。近年来,有关于接种人乳头瘤病毒疫苗后出现 POF 的报道,被认为是疫苗佐剂所导致,可能与自身免疫反应相关。
间充质干细胞在卵巢早衰的应用
间充质干细胞(MSCs)起源于中胚层,几乎在全身结缔组织和器官间质中均有分布。它不仅保持着干细胞多向分化的潜能,而且免疫原性低,向受损组织迁移能力强,伦理争议较小,因此最早被应用于临床研究,现已广泛用于医学生物工程。目前,MSCs已经用于治疗血液系统、神经系统、运动系统、心血管系统以及皮肤等多种系统的相关疾病,疗效颇佳。

治疗POF的机制
可以总结为以下几点:MSCs具有“归巢”作用;MSCs能直接分化为颗粒细胞或者是抑制其凋亡,促进其再生,改善其功能;MSCs可诱导、分化为原始生殖细胞;MSCs可促进卵巢血管的生成;有免疫调节作用;能降低氧化应激反应。
1、MSCs可通过各种途径改善颗粒细胞功能从而达到恢复卵巢功能。
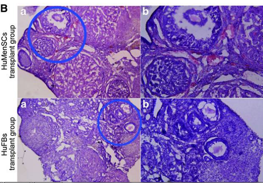
有研究表明,原位注射间充质干细胞后,其可被诱导分化为卵巢颗粒细胞,POF小鼠的卵巢重量、雌激素水平和正常卵泡的数量增加,FSH水平降低,卵巢功能明显好转。

图示:注射间充质干细胞和对照组(HuFBs)后2周,各移植组POF小鼠卵巢苏木素和伊红染色。间充质干细胞组卵泡闭锁和卵巢纤维化明显改善,而对照组未见改善。
2、MSCs可通过改善生殖细胞的发育和减少原始生殖干细胞的消耗恢复卵巢功能。
脐带间充质干细胞能通过上调CRY61和CTGF的表达从而激活休眠的卵泡,改善卵巢功能。另外还有研究表明MSCs能通过上调相关干细胞功能蛋白来减少卵巢生殖干细胞的消耗,促进其分化为原始卵泡,改善微环境从而恢复卵巢功能。
3、MSCs可通过各种方式诱导卵巢血管生成,修复受损的卵巢从而改善卵巢功能。
一项有关脐带间充质干细胞的研究表明其可通过分泌VEGF 、IGF-1、G-CFF、HGF等相关细胞因子促进卵巢血管再生,减轻间质纤维化,从而改善卵巢功能。
4、MSCs主要通过调节Treg细胞来参与免疫系统的调节从而改善POF患者的卵巢功能。
间充质干细胞联合雌激素可促进POF患者外周血中Treg细胞的分化,从而改善卵巢功能。既往研究表明MSCs可通过可溶性介质的刺激、细胞—细胞间相互作用和抗原呈递细胞的作用来调节Treg细胞。
间充质干细胞还可以通过增加抗氧化作用酶的生成,抑制ROS产生,从而起到抗氧化应激等作用来改善卵巢的作用。
间充质干细胞不仅在卵巢早衰中具有较大应用前景,在女性皮肤衰老、脱发、内分泌调节、三高以及膝关节养护上,都具有明显的改善作用。

随着干细胞技术的不断发展,干细胞技术在抗衰老中的作用会更加凸显,同时干细胞在更多衰老相关疾病治疗中的潜在作用也会被发掘。期待有一天随着科学研究的不断深入与完善,干细胞技术能够挽救更多的患者和家庭。

