汉氏联合科普干细胞疗法——治疗脱发的“救星”
近年来,面临脱发的尴尬的人数越来越多。据卫健委发布的脱发人群调查显示,我国脱发的人群已超过2.5亿,年龄主要集中在20岁到40岁。
一般情况下,正常人平均每天脱发约40-100根,属于正常新陈代谢,每天脱落的头发和新生发的数量大致相同,因此头发不会变稀。若头发生长缓慢,发量明显减少,头发逐渐稀疏,则考虑是病理性脱发。
目前治疗脱发方法主要有药物治疗、手术治疗、激光治疗、毛发移植,但可能出现各种副作用,如发炎、渗血、感染、疼痛、肿胀、瘢痕、异物反应等。寻找更加有效的干预脱发的方法迫在眉睫,而干细胞为脱发患者带来了治疗新思路。
2019年7月,《International journalof molecular sciences》杂志报道了意大利学者Gentile Pietro的最新研究成果:对纳入的35位脱发患者(有1位被排除在外,有1位被拒绝),分为实验组和安慰组。

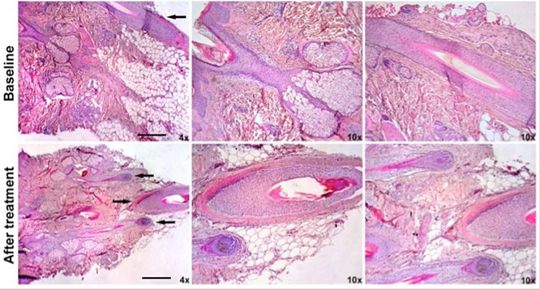
操作人员对实验组进行3次干细胞疗法的干预,安慰剂组用盐溶液干预,每隔45天对每位患者进行三次注射。在最后一次微型移植物注射后第23周和第44周,干细胞干预组的患者头发密度有所改善,与基线值相比,治疗区域的平均密度分别增加了33%±7.5%和27%±3.5%。而安慰剂区域的毛发密度增加不超过0.7%。头皮活检的显微镜评估显示,自上次微移植开始起11个月后,每平方毫米的毛囊数量与基线相比有所增加(分别为1.4 + 0.27和0.46 + 0.15;p <0.05)。最终结果显示使用干细胞疗法之后,受试者的毛发密度有所改善,干细胞疗法能使毛发再生。

显微评估微移植后脱发的模式。上面3张为干预前,后面3张为干预后。在微移植治疗后的基线(时间0)和第44周,头皮活检的代表性显微照片。箭头显示毛囊。放大倍率4倍和10倍。
干细胞作为一类处于未分化状态、具有高度自我更新和多向分化潜能的细胞,在一定条件下可分化为多种功能细胞。干细胞能分泌多种促血管生成因子如血管内皮生长因子(VEGF)、转化生长因子β(TGF-β),支持内皮细胞生长、存活和分化。干细胞移植能够促进局部血管新生,改善毛囊微环境,延长毛囊生长周期,促使更多毛囊进入生长期,实现毛发的再生长。

作为毛发再生领域的新技术,干细胞疗法提高毛发再生效果显著。随着干细胞药物研究和临床试验的快速推进,有望帮助有脱发困扰的人群早日“脱”离苦海!

