-
挑战旧理论:运动神经元祖细胞是干细胞?
2016-11-07
来源:生物通一项新的研究报告显示,脊椎中的运动神经元祖细胞在生物体内,并不如预期般地具有干细胞的特质。有关干细胞的研究是当前生物界最热门的领域。如果发现了新的细胞株或位于生物体内某一区位的细胞群,那么如何确定它就是真正的干细胞呢?基本上来说,如果要成为生物学家所青睐的干细胞,必须
-
干细胞治心脏病带来新希望
2016-11-07
来源:城市商报商报记者张洁本报讯昨天,第五届苏州九龙论坛开幕,在两天时间里,来自北京、上海、浙江、南京的国内心内科顶级专家将就糖尿病冠心病、干细胞治疗、药物基因组学等心内科研究和发展最新成果进行学术专题讲座,吸引了南京、无锡、镇江、杭州等城市心内科1000多名临床一线专家参加会议
-
干细胞治疗有望成为21世纪最前沿医学
2016-11-07
据SBWire网站近日报道,在过去的十年中,国际干细胞治疗的发展突飞猛进,有望成为治疗慢性疾病的最有效的方式。目前,干细胞治疗已经帮助患者从150种以前认为是不治之症的疾病中恢复,包括“三巨头”——心脏病、糖尿病和癌症。迄今为止,超
-
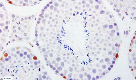
Development:为何男人的精子会在一生中源源不断地产生?
2016-11-07
长期以来机体持续产生精子对于繁衍后代非常关键;近日,发表在国际杂志Development上的一篇研究论文中,来自日本国家基础生物学研究所的研究人员通过研究揭示了为何机体会持续产生精子,研究者ShoseiYoshida教授表示,精原干细胞对于类维生素A的反应存在一定的差异,而这种差
-
干细胞治心梗疗效还在研究中
2016-11-07
来源:《生命时报》干细胞用来治疗心肌梗死、扩张型心肌病等重症心脏病,在医学界已经探索了近10年,至今还是存在争论。我们都知道,干细胞治疗某些血液系统疾病已经很成熟,临床在大规模使用。由于心肌组织独特、精细,这条治疗之路还很坎坷。老百姓对这项治疗更是神奇且陌生。此次大会上,一项研究
-
一种分子可致不吸烟者患肺癌
2016-11-07
来源:科技日报据新华社洛杉矶7月18日电(记者高原)一些从不吸烟的人为何也会患肺癌?美国和日本的科研人员在最新研究中发现,这可能与一种被称为miR-21的微RNA(核糖核酸)分子有关。科研人员在新一期美国《国家科学院学报》上说,他们从28名从不吸烟的肺腺癌患者提取肺组织样本,与因
-
韩国研发干细胞治肺病技术
2016-11-07
来源:中国金药网、北方网韩国一个研究小组日前表示,他们已成功进行了动物实验,有可能会找到有效治疗人类各种肺部疾病的方法。据韩国联合通讯社报道,这一研究小组由韩国最大的医院三星医疗中心和韩国脐带血和造血干细胞研究领域的领头羊Medipost公司的专家组成。该小组称,他们抽取了动物的
-
英国科学家使用3D打印机制作出人类干细胞!
2016-11-07
来源:和讯科技资料来源:VentureBeat编译:Techorange林琳3D打印技术既神奇又酷,连名片都可以印制成3D立体造型,印出3D手枪也不是难题,现在3D打印技术甚至可以拯救你的生命!英国科学家成功使用一种装载控制阀的细胞打印机(valve-basedcellprint
预约咨询卡
Appointment consultation card



400-817-8855
预约咨询