加强型NK细胞疗法:实体瘤控制率高达80%
如果把我们的身体比作一座城市,免疫系统就是守护这座城市的防卫力量。在这支防卫部队里,有一群特殊的战士——NK细胞(自然杀伤细胞)。它们诞生于骨髓,常驻在肝脏、脾脏和血液中,约占总免疫细胞的15%。

双重验证下的快速杀伤机制
这支"特种部队"最厉害的本事就是"天生能打"——它们不需要像T细胞那样经过复杂的“培训”,也无需抗体引导,凭借一套固有的识别机制就能直接攻击癌细胞、病毒感染的细胞以及衰老无用的“僵尸细胞”。

这套机制的核心是“双重验证”:正常细胞表面展示着MHC-I类分子,NK细胞表面的抑制性受体(如KIR)与之结合后,会收到“自己人,勿攻击”的信号。而癌细胞常常丢失MHC-I分子,同时释放MICA/B等压力信号,被NK细胞的激活性受体(如NKG2D)捕捉,随即触发杀伤程序——释放穿孔素和颗粒酶裂解目标。
从发现目标到完成清除,最快只需5分钟,反应速度是T细胞的200倍。一个健康成年人每天依靠NK细胞清除约3000个潜在癌变细胞,堪称人体免疫系统最敏锐的"应急特警"。
NK细胞活性随年龄衰退
但残酷的是,这支"特种部队"会随着年龄增长而逐渐衰退。 北京协和医院的研究数据显示,40岁以后NK细胞活性每年平均下降约2.3%,40岁时免疫力可能只有20岁时的50%,到了70岁甚至可能仅剩10%。这也是为什么年纪越大,癌症、感染等疾病风险越高的核心原因之一。

此外,面对实体瘤表面致密的纤维基质,天然NK细胞难以有效穿透,往往只能在外围徘徊,杀伤效果大打折扣。传统的NK细胞治疗方法(从患者自身血液中提取、简单扩增后回输)也面临纯度偏低(约60%-70%)、活性不足的问题。
加强型NK细胞的5大突破
为了突破这些瓶颈,研究者开发了“加强型”NK细胞策略。其基本流程是:从健康供体的外周血或脐带血中筛选出高活性的NK细胞,在体外用IL-2、IL-15等细胞因子进行激活和扩增,最终制成高纯度的细胞制剂,冷冻保存。需要时解冻后回输给患者。与常规方法相比,这种策略在几个方面实现了改进:
- 细胞纯度与杀伤活性显著提高
通过优化的筛选和扩增工艺,最终制剂中功能性NK细胞的占比可达98%以上,激活性受体(如CD16、NKG2D)的表达率超过90%。这意味着绝大多数细胞具备高效识别和攻击癌细胞的能力。
- 具备穿透实体瘤屏障的能力
部分加强型NK细胞在诱导过程中能够获得分泌基质金属蛋白酶(如MMP-2/9)的能力。这些酶可以降解肿瘤周围致密的胶原基质,帮助NK细胞迁移至肿瘤内部发挥作用。这一特性对于肝癌、胰腺癌等纤维化程度高的实体瘤尤其重要,弥补了常规NK细胞难以进入肿瘤核心区的不足。
- 可提前制备、实现“现货”使用
与CAR-T疗法需从患者体内采集细胞、经过基因改造和扩增(通常耗时2-4周)不同,加强型NK细胞可以提前批量制备、严格质检并冷冻保存。患者需要时,解冻后约1小时即可完成回输,有利于抓住治疗的关键窗口期。此外,其成本远低于CAR-T(后者单疗程通常超过120万元)。
- 严重不良反应风险较低
临床数据显示,加强型NK细胞治疗后≥3级严重副作用的发生率约为3.2%,多数表现为短暂低热,且未报告细胞因子风暴或移植物抗宿主病等CAR-T疗法常见的严重毒性反应。70岁以上或体质虚弱的患者通常也能良好耐受。
- 兼具直接杀瘤与免疫调节双重作用
除了直接裂解癌细胞,加强型NK细胞还能分泌IFN-γ等细胞因子,激活患者体内原本“休眠”的T细胞,从而产生更持久的抗肿瘤免疫记忆。这一机制有助于降低肿瘤复发风险,实现“既清除现有病灶,又预防未来复发”的效果。
实体瘤控制率高达80%
在已发表的临床研究中,NK细胞治疗显示出了一定潜力。
例如,国内一项研究对17例肝癌患者进行了自体NK细胞回输(每疗程3次静脉输注),治疗后疾病控制率(包括稳定)为71.4%。


在非小细胞肺癌的试验中,联合NK细胞治疗的患者一年生存率较传统治疗提高了一倍。此外,有病例报告显示,术后复发的结直肠癌患者接受NK细胞治疗后,三年内未再次复发。
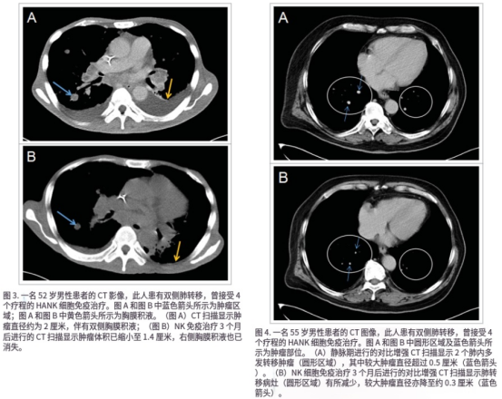
针对加强型NK细胞,目前部分研究机构报告了在晚期实体瘤患者中的探索性应用结果:联合化疗用于肝癌、胰腺癌、结直肠癌等,疾病控制率可达80%左右;对于血液肿瘤,临床应答率超过70%。

结语
加强型NK细胞疗法的出现,弥补了传统免疫治疗的部分短板:它不依赖基因改造,避免了高昂的成本和细胞因子风暴等风险。既能处理实体瘤,也能应对血液肿瘤。既追求快速杀伤,也尝试建立长期免疫监视。
随着技术突破,NK细胞疗法正从"高精尖"走向"广覆盖",对于患者而言,抓住这一医疗突破的窗口期,或许就是抓住生的希望。
【声明】
1.本文旨在科普细胞类知识,进行学术交流分享,了解行业前沿发展动态,不作为官方立场,不构成任何价值判断,不作为相关医疗指导或用药建议,无任何广告目的,非进行产品贩卖,仅供读者参考。
2.本账号文章可能包含购买的版权图片,转载请谨慎。
3.若涉及版权等问题,请联系我们及时处理删除。
下一条:国内干细胞药物出海破冰
预约咨询卡
Appointment consultation card



400-817-8855
预约咨询